¸ÃÏîÑо¿Ð§¹ûÒÑÔÚ¡¶Frontiers in Oncology¡·ÆÚ¿¯£¨IF: 5.006£©½ÒÏþ£¬½øÒ»²½¸»ºñÁËҽѧ½ç¶Ô¼××´ÏÙ¼²²¡µÄÊìϤ£¬Õ¹ÏÖÁË·Ö×Ó¼ì²âÊÖÒÕÔÚ¼××´ÏÙ¼²²¡¾«×¼ÕïÁÆÖеÄÓ¦ÓüÛÖµ¡£

ÂÛÎÄÐû²¼½ØÍ¼
Ñо¿Åä¾°
¼××´ÏÙ°©ÊÇÒ»ÖÖÆðÔ´ÓÚ¼××´ÏÙÂËÅÝÉÏÆ¤»òÂËÅÝÅÔÉÏÆ¤Ï¸°ûµÄ¶ñÐÔÖ×Áö£¬Ò²ÊÇÍ·¾±²¿×îΪ³£¼ûµÄ¶ñÐÔÖ×ÁöÖ®Ò»¡£½üÄêÀ´£¬È«Çò¹æÄ£ÄÚ¼××´ÏÙ°©µÄ·¢²¡ÂÊÔöÌíѸËÙ¡£¾ÝÌìÏÂÖ×Áö¹ÒºÅÖÐÐĵÄÊý¾ÝÏÔʾ£¬ÎÒ¹ú¼××´ÏÙ°©½«ÒÔÿÄê20%µÄËÙÂÊÒ»Á¬ÔöÌí£¬¶¼»áµØÇøÅ®ÐÔ¼××´ÏÙ°©·¢²¡ÂÊλ¾ÓÅ®ÐÔËùÓжñÐÔÖ×ÁöµÄµÚ4λ¡£
OCA×÷ΪһÖÖÓÐÊýÇÒ¾ßÓÐÇÖÏ®ÐԵļ××´ÏÙ°©£¬Í¨³£ÌåÏÖ³ö½Ï¸ßµÄ×ªÒÆÇ±ÄÜ£¬µ¼Ö½ϲîµÄÔ¤ºó¡£OCAµÄÕï¶Ï¾ßÓÐÏÔÖøµÄÌôÕ½ÐÔ£¬ÓÈÆäÊÇÆäÁÙ´²ÌåÏÖÓëÁ¼ÐÔÊÈËáϸ°ûÏÙÁö¸ß¶ÈÏàËÆ£¬¹Å°åµÄ¼××´ÏÙ³¬ÉùºÍϸÕë´©´Ì»î¼ì£¨FNAB£©ÍùÍùÄÑÒÔ×¼È·Çø·Ö¡£
Ñо¿ÏÔʾTERTÆô¶¯×ÓÍ»±äÊÇTERT¼¤»îµÄÖ÷ÒªÐÎʽ£¬ÔÚ¼××´ÏÙ°©¡¢ÄÔ½ºÖÊÁö¡¢¸Î°©µÈ¶àÖÖ¶ñÐÔÖ×ÁöÖÐ¸ßÆµ±¬·¢£¬ÇÒÓë²»Á¼Ô¤ºóÏà¹Ø¡£ÓÈÆäÔÚ¼××´ÏÙ°©ÖУ¬Ëæ×ż××´ÏÙ°©·Ö½âˮƽµÄ½µµÍ£¬TERTÆô¶¯×ÓÍ»±äƵÂÊÏÔ×ÅÔö¸ß£¬ÌáÐÑTERTÔÚÖ×ÁöÈ¥·Ö½â¼°¶ñ»¯Àú³ÌÖÐʩչÖ÷Òª×÷Óá£È»¶ø£¬ÓÉÓÚÆäÍ»±äλµãµÄÌØÊâÐÔ£¬¹Å°å¼ì²âÒªÁìÍùÍùÄÑÒÔÔÚÔçÆÚ׼ȷ²¶»ñµ½Õâһͻ±ä£¬¸øÁÙ´²Õï¶Ï´øÀ´Á˲»Ð¡µÄÄѶȡ£
½üÄêÀ´£¬Ëæ×Å·Ö×Ó¼ì²âÊÖÒÕµÄǰ½ø£¬Ê¶±ðTERTÆô¶¯×ÓÍ»±ä£¬²»µ«ÎªOCAµÄ¾«×¼Õï¶ÏÌṩÁËÐÂÊӽǣ¬Ò²Îª¸öÌ廯ÖÎÁƼƻ®µÄÖÆ¶©ÌṩÁËÖ÷ÒªµÄ·Ö×ÓÒÀ¾Ý¡£
Ñо¿ÄÚÈÝ
»¼Õß»ù±¾ÇéÐÎÓëÁÙ´²ÌåÏÖ
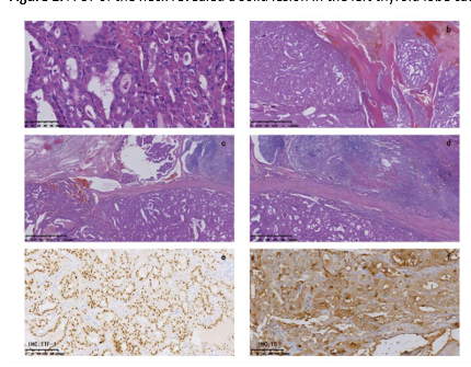
±¾Àý»¼ÕßΪ84ËêÅ®ÐÔ£¬ÒòÑÏÖØºôÎüÄÑÌ⣨ÖÏÏ¢£©ÖÁ¼±Õï¿Æ¾ÍÕï¡£ÈëԺǰ7Ìì·ºÆð¿ÈËÔ¡¢¿È̵£¬°éÒûË®ºóºôÎüÄÑÌ⡢Ǻ¿È¸Ð¡£Ëæ×ÅÖ¢×´¶ñ»¯£¬»¼Õß·ºÆðºôÎüÞ׾ݺÍÒâʶ¸Ä±ä£¬ÔÚÍâµØÒ½Ôº½ÓÊÜÁ˳õʼÖÎÁÆ£¬µ«²¡Çéδ¼û»º½â£¬±»×ªµ½Ìì½òÒ½¿Æ´óѧ×ÜÒ½ÔºICU¡£CTɨÃèЧ¹ûÏÔʾ£¬¼××´ÏÙ×óÒ¶ÓÐÒ»¸öʵÐÔ²¡±ä£¬µ¼ÖÂÆø¹ÜեȡºÍÆ«Àë¡£²¡ÀíÆÊÎöÏÔʾ£¬Ö×Áöϸ°û¾ßÓÐÊÈËáϸ°ûÌØÕ÷£¬²¢ÇÒ·ºÆð³ö¾Ö²¿»µËÀºÍѪ¹ÜÖ×ÁöѪ˨Ðγɣ¨ÈçÏÂͼËùʾ£©¡£


·Ö×Ó¼ì²âÖúÁ¦È·ÕïOCA
ͨ¹ý333ÌåÓý¹ÙÍøµÄ·Ö×Ó¼ì²âƽ̨£¬ÏÔʾTERTÆô¶¯×ÓC228TÍ»±ä£¬BRAF¡¢HRAS¡¢KRAS¡¢NRAS¡¢TP53¡¢RET¡¢NTRK1¡¢NTRK3¡¢PAX8ºÍTHADAЧ¹û¾ùΪÒõÐÔ¡£»¼Õß±»È·ÕïΪTERTÆô¶¯×ÓÍ»±äOCA£¬¸ÃÍ»±äÔÚ¼××´ÏÙ¶ñÐÔÖ×ÁöÖоßÓнϸߵÄÇÖÏ®ÐÔ¡£¸Ã¼ì²âЧ¹ûÕ¹ÏÖÁË·Ö×ÓÕï¶ÏÔÚÓÐÊý¶ñÐÔÖ×ÁöÕï¶ÏÖеÄÒªº¦×÷Óã¬×ÊÖúÁÙ´²Ò½ÉúÖÆ¶©¸üΪ¾«×¼µÄÖÎÁƼƻ®¡£
ÖÎÁƼƻ®ÓëÔ¤ºó
ƾ֤¼ì²âЧ¹û£¬»¼ÕßЯ´øTERTÆô¶¯×ÓC228TÍ»±ä¡£Õâһͻ±äÌáÐÑÖ×Áö¾ßÓнϸߵÄÇÖÏ®ÐÔ¡£Ë¼Á¿µ½ÕâÒ»ÐÅÏ¢£¬ÁÙ´²¾öÒé½ÓÄɸöÌ廯ÖÎÁƼƻ®£¬ÒÔ¿ØÖÆÖ×ÁöµÄÏ£Íû²¢½µµÍÊÖÊõΣº¦¡£ÓÉÓÚ»¼Õ߸ßÁäºÍºÏ²¢Ö¢£¬ÖÎÁÆÕ½ÂÔÓÅÏÈ˼Á¿»º½âÆøµÀեȡ²¢ïÔÌÊõºó²¢·¢Ö¢¡£×îÖÕ£¬»¼Õß½ÓÊÜÁË×ó²à¼××´ÏÙÇгýºÍÏ¿²¿ÇгýÊõ£¬×èÖ¹ÁËÈ«¼××´ÏÙÇгýµÄΣº¦¡£Êõºó£¬»¼ÕߵĺôÎüÞ׾ݻñµÃÁË»º½â£¬ºóÐø½«¾ÙÐа´ÆÚËæ·Ã£¬²¢×ÃÇé¾ÙÐиÉÔ¤¡£
Ñо¿Ð¡½á
ÍíÄê¼××´ÏÙ°©»¼ÕßÒòºÏ²¢Ö¢¶øÃæÁÙ¸ü¸ßµÄÊÖÊõΣº¦£¬¶øÖ×ÁöÏ£Íûµ¼ÖµÄÁÙ´²²¢·¢Ö¢£¨ÈçÆøµÀÛÕ±Õ»òÉñ¾ËðÉË£©¿Éʹϳ¡½øÒ»²½Öش󻯣¬Òò´ËÐèÒª½ÓÄÉÏÖÐÐÖ¸ÄϽ¨ÒéµÄ¸üÊØ¾ÉµÄÖÎÁÆÒªÁ졣Ȼ¶ø£¬¶ÔÍíÄ껼ÕßµÄÔ¤ºóÆÀ¹ÀÈÔÈ»ÊÇÒ»¸öÌôÕ½£¬ÓÈÆäÊǵ±¼××´ÏÙÒ¶ÇгýÊõµÈÊÖÊõÑ¡ÔñÊܵ½»¼Õß²¡ÇéÏÞÖÆÊ±¡£
±¾ÀýÑо¿ÊÇÊ׸ö±»±¨µÀµÄÒÔÖÏÏ¢ºÍTERTÆô¶¯×ÓÍ»±äΪÌåÏÖµÄOCA²¡Àý¡£Ö»¹Üͨ¹ý³¬Éù¼ì²é·¢Ã÷ÁËÒ»¸öÏÔÖøµÄ¼××´ÏÙ½á½Ú£¬µ«ÓÉÓÚ»¼ÕßÄêËê½Ï´ó£¬Í¨¹ýFNAB¾ÙÐнøÒ»²½Õï¶ÏµÄÊÂÇé±»ÍÆ³Ù¡£ÎªÁËÇø·ÖÖ×ÁöµÄÁ¼ÐÔÓë¶ñÐÔ£¬ÓÈÆäÕë¶ÔTERTÆô¶¯×ÓÍ»±äµÄOCA£¬·Ö×Ó¼ì²âÔÚÍêÉÆÖÎÁƾöæÅºÍ×èÖ¹¼²²¡Ï£Íû·½ÃæÊ©Õ¹×ÅÒªº¦×÷Óá£
333ÌåÓý¹ÙÍø
¼××´ÏÙÖ×ÁöÕï¶ÏÕûÌ廯½â¾ö¼Æ»®
333ÌåÓý¹ÙÍøÒÔÁÙ´²¿Í»§ÐèÇóΪµ¼Ïò£¬ÒÀ¾Ýº£ÄÚÍâÕïÁÆÖ¸Äϼ°×îеÄÑо¿Ï£Íû£¬ÒÀÍÐÓ«¹â¶¨Á¿PCRƽ̨¡¢Êý×ÖPCRƽ̨¡¢¸ßͨÁ¿²âÐò£¨NGS£©Æ½Ì¨ÒÔ¼°¶à×éѧƽ̨£¬´òÔìÁ˼××´ÏÙÖ×ÁöÕï¶ÏÕûÌ廯½â¾ö¼Æ»®£¬ÊÊÓÃÓÚ¼××´ÏÙÖ×ÁöµÄÒÅ´«Î£º¦ÆÀ¹À¡¢Á¼¶ñÐÔ¸¨ÖúÕï¶Ï¡¢ÊõʽѡÔñ¡¢°ÐÏòÓÃÒ©Ö¸µ¼¡¢Ô¤ºóÆÀ¹À¼°¿ÆÑ§Ñо¿µÈ£¬Íƶ¯Ö×Áö¾«×¼Ò½ÁƵĸßÖÊÁ¿Â䵨ºÍÎȲ½Éú³¤£¬·þÎñÁÙ´²£¬ÆÕ»ÝÀèÃñ¡£

